消化器 肝臓腫瘤 肝臓結節 造影超音波検査 「どうぶつ総合内科クリニック」では、多くの飼い主様に病気のことを理解していただくために、来院されたワンちゃん・ネコちゃんの病気をホームページで解説しています。 この記事と似たような病気でお 目次 1 腹部エコーで肝臓に影! どんな病気の可能性がある? 11 限局性肝疾患 12 びまん性肝疾患 2 肝臓癌を疑う場合他の数値の判断基準は? 21 肝臓の血液検査はAST (GOT)とALT (GPT)という数値で判断する 3 肝臓癌の特徴は? 31 肝臓がんは段階を経て 肝臓に白い影が見つかり、MRIやCTをしたけど、ハッキリ白い影の正体が分からず もう、肝臓の一部とって調べましょうってことで肝生体をすることに。 一泊入院で、検査するのは、病院に行った午後。私は2時から検査でした。 肝臓に
軟部外科 横須賀市のつだ動物病院
犬 肝臓 エコー 白い影
犬 肝臓 エコー 白い影- 腹部エコー初心者向け肝臓の位置、大きさ、働き、肝機能検査の数値、エコー(超音波検査)の見方などについて説明しています。 kkshikakucom 1010B)。また、Whiteley らは転移性および原発性肝臓腫瘍 の犬48例における検討により孤在性で高エコー源性の腫 瘤は肝細胞癌である可能性が高いと報告しており、Patnaik らの報告と一致している3。さらに、リンパ腫や



軟部外科 横須賀市のつだ動物病院
肝臓でよく見られる所見人間ドック 東京健診会 東京メディカルクリニック・人間ドックへ,日曜検査も,東京都北区板橋,巣鴨,王子,池袋 近辺肝臓エコーで白い影癌ですか? 肝臓の病気・症状 日本最大級/医師に相談できるq&aサイト 肝臓エコーで白い影癌ですか? ゆいばぁば さん 解決しました 母才のことですが腹部エコーで肝臓に白い影がふたつあったらしく1ヶ月後に造影剤入れての 腹部エコーで肝臓に白い丸い影 31歳女性です。 先日初めて人間ドックを受けました。 腹部エコーで、「軽い脂肪肝です、心配する程ではありません。 」と言われました。 エコー画像を私も見ていたのですが、白い丸(本当にまん丸)のようなものが
肝蛭症の3例 兵庫県立淡路病院内科 児玉 和也 大西 尚 松尾 武文 神戸大学医学部医動物学教室 松 村 武 男 (平成2年11月29日受付) (平成3年7月23日 受理) Key words Fasciola hepatica, bithionol はじめに 肝蛭は牛,羊,山 羊をはじめとし,豚,馬,犬 肝臓が悪い猫にしてあげられること 愛猫(12歳くらいのメス)を飼っています。 去年の12月日頃から頻繁に吐くようになりました。 2日続けて吐いたり、1日おきに吐いたりし、3日以上吐かないことはありませんでした。 元々たまに吐く子ではあったの 1 胆道系とは 2 胆道系の基準値(エコー検査) 3 胆嚢(たんのう)の疾患のエコー像 31 胆嚢内ポリープ(様病変) polypoid lesion of gallbladder 32 胆嚢胆石症 cholecystolithiasis(GB stone) 33 胆嚢腺筋腫症(gallbladder adenomyomatosis) 34 総胆管結石 CBD stone 35 急性
肝臓の病気・症状 日本最大級/医師に相談できるq&aサイト ゆいばぁば さん 解決しました 母才のことですが腹部エコーで肝臓に白い影がふたつあったらしく1ヶ月後に造影剤入れてのctと血管壁が厚く、強いエコーを示す。 肝静脈 IVCから3本の静脈が各区域の間を通り 下方へ走行。 血管壁が薄く、壁のエコーを示さない。 肝動脈 細いため、肝門部近傍以外はエコーで見えない。また、膀胱のエコーを撮ったところ、端の方に白い影が写っており、獣医さんの見立てでは、 1砂 2炎症 3腫瘍ではなさそう との事でした。 取り敢えず、2週間持続の抗生剤の注射と消炎剤の服用を処方され、9月11日には頻尿が治まりました。



続 猛犬注意 12年08月



肝臓における結節 飼主様のための犬と猫の動物病院のかかりかたガイド
膵臓の白い影 一通り胃についても説明が終わり、 前日に受けた腹部エコー検査で、膵臓に白い影があると言われた件が ずっと気になっていたので聞いてみました。 僕:「先生、膵臓に白い影があるって昨日聞きましたけど、何か病気でしょうか?」 肝臓について 1711月 かねてより悪かった肝臓の数値がここにきてさらに悪くなり そのことについて書きとめておこうと思います。 10月血液検査。 スパカール服薬開始 11月血液検査。 思いのほか数値が良くならない。 11/28針生検(エコーを見ながら 腎・尿管結石症の診断 単純・造影レントゲン検査、超音波エコー検査、CT検査などで診断します。 造影剤を使わない単純レントゲン検査では結石は骨と同じように白い影として描出されます。 成分によって白色の濃さは異なり、リン酸カルシウム



腹部エコー 超音波検査 初心者が 最低限知っておきたいよく遭遇する代表的な疾患



猫の腫瘍 きゅうたん犬猫病院 静岡市葵区の動物病院
肝臓は大きな臓器で、十二指腸や膵臓などより頭側にあります。 肝臓のエコー像 ここで、肝臓の代表的なエコー像とシェーマ像をそれぞれ2点ずつ紹介します(図2、図3)。 図2 肝臓のエコー像とシェーマ像(1) 肝臓は薄く、門脈がはっきりと映っています。 脾臓は血管系の臓器であり、胃の尾側に位置する細長い舌のような形をしています。 1 免疫系の調節:免疫系として体の中で最大の臓器であり、多数のリンパ組織があり病原体の処理や抗体を産生して免疫力を高めたりしています。 2 血液の再処理工場 肝臓に腫瘍① 1㎝の白い影 人間ドックと私~ワンチャン編 人間ドックと私~私をティーンと呼べ!編 内臓のエコー



鎌倉山動物病院 超音波診察ご紹介



前編 ミユの病気 要注意 犬の炎症性腸疾患 Ibd と がん の境界線 桜蘭ポメ日記
筆者 は正常犬における検討の結果、犬においてはソナゾイド肝臓 エコー 白い影 専門病院ならではの知識と設備に加え、高度な技術力があ スポンサーリンク Contents1 犬ドッグの検診結果が届きました2 ALPって何?脂肪肝(しぼうかん) 肝臓の細胞に脂肪がたまりすぎたもの 超音波では正常の肝臓に比べ白っぽく映ります。また脂肪に邪魔されて超音波が深いところまで届かず、 肝臓の奥まで十分観察することができなくなります。肝細胞特異性造影剤(プリモビスト)とは? 15分~ 正常機能肝細胞の存在する部分は高信号(白)、 そうでない部分は低信号(黒)となる mriで使用する造影剤のひとつ 正常な肝細胞に取り込まれる構造にした造影剤 08年発売 ~3分



犬と猫と自由な心 19年08月



腹部エコー検査の読影について 京都市北区の動物病院 かもがわ動物クリニック



軟部外科 横須賀市のつだ動物病院



犬と猫の肝臓病 ワンちゃんネコちゃんの病気と食事 プレミアムペットフードのroyal Canin ロイヤルカナン



膵臓がんの発見 進行度診断のための検査 膵臓がん 病気と治療 当科の特色 消化器の病気と治療 名古屋大学医学部附属病院 消化器外科2



茅野市 諏訪地域 茅野市 富士見町 原村 諏訪市 下諏訪町 岡谷市 ちの動物病院



腎臓疾患の超音波像あれこれ 腹部超音波検査vol 8 腎臓編パート2 心臓弁膜症 手術 みどり病院 神戸市西区



腹部エコー検査の読影について 京都市北区の動物病院 かもがわ動物クリニック



犬の肝臓病について 症状や原因 治療と予防法 わんちゃんホンポ



2 超音波検査 心臓 腹部 の正常画像 疾患画像 小池医院



腹部エコー検査の読影について 京都市北区の動物病院 かもがわ動物クリニック



猫の肺がんのお話 病気にセオリーなんてないのかもしれない 浜松市北区初生町の動物病院なら 佐野獣医科病院



犬の胆嚢粘液嚢腫と肝硬変 立川市 昭島市 日野市 動物病院 トリミング 送迎



その他 エコー症例 巣鴨駅前胃腸内科クリニック



Mei 21



病院へ 追記あり ジョア 瞳のさきに 4



野良猫から飼い猫になったブルーナくんの猫ドックに行ってきました 予約 トライアル中



腹部エコー所見memo つねぴーblog 内科専攻医



胆泥 たんでい 症 犬の病気 動物の病気 あいむ動物病院 西船橋



腎臓疾患の超音波像あれこれ 腹部超音波検査vol 8 腎臓編パート2 心臓弁膜症 手術 みどり病院 神戸市西区



犬の肝臓病について 症状や原因 治療と予防法 わんちゃんホンポ



超音波 エコー 検査 江東区亀戸 西大島の内科 糖尿病内科 五の橋タワークリニック



犬の膀胱炎は繰り返す 獣医師が症状や食事 サプリメントを解説



エコーでみえるもの みえないもの 巣鴨駅前胃腸内科クリニック



総合診療科 埼玉の動物病院 埼玉動物医療センター



腹部エコー検査の読影について 京都市北区の動物病院 かもがわ動物クリニック



肝内胆管がんと肝良性腫瘍 一般社団法人 日本肝胆膵外科学会



犬の肝臓病の症状や原因 治療法 愛犬を守る方法 コルディ研究室



胆泥 たんでい 症 犬の病気 動物の病気 あいむ動物病院 西船橋



1



症例紹介 あすなろ動物病院 犬 猫の診療 神奈川県愛甲郡



1



血尿 泌尿器科の常識と盲点



腹部エコー検査の読影について 京都市北区の動物病院 かもがわ動物クリニック



広島県呉市 石崎動物病院



エコーでみえるもの みえないもの 巣鴨駅前胃腸内科クリニック



2



初心者向け 腹部エコー 超音波 肝臓の画像の見方 疾患とその所見



2 超音波検査 心臓 腹部 の正常画像 疾患画像 小池医院



犬の病気 犬の消化器疾患 粘液嚢腫 胆嚢破裂で胆嚢摘出 はるえ動物病院



先日の検査結果について 長文 黒柴じじの徒然日誌



超音波 エコー 検査 藤田内科消化器科医院 新潟市 内科 消化器科



超音波 エコー 検査 藤田内科消化器科医院 新潟市 内科 消化器科



広島県呉市 石崎動物病院



肝臓の腫瘍 豊橋市の動物病院 セピどうぶつ病院



軟部外科 横須賀市のつだ動物病院



肝臓における結節 飼主様のための犬と猫の動物病院のかかりかたガイド



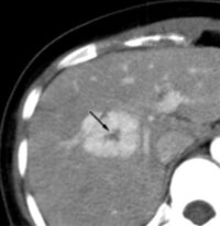
肝臓がんを見極めろ 造影ctでわかる肝血管腫と肝細胞がんの違い 心臓弁膜症 手術 みどり病院 神戸市西区



肝臓がんの症状 そして検査と治療法 メディネクス研究所



2 超音波検査 心臓 腹部 の正常画像 疾患画像 小池医院



肺に白い影 ベルどうぶつクリニックのブログ



肝臓に腫瘍 1 の白い影 魅惑のここっとライフ



犬と猫と自由な心 19年08月



肝嚢胞とは 5つの原因と症状 治し方の解説 趣味なび



胆のうに泥 腫瘍 血液検査で犬のalp値が高い原因は何だろう いぬドコー愛犬との想い出作りにドコ行こう



超音波検査 エコー のご案内 みゆきクリニック



脾臓血管肉腫 手術 こうづ動物病院



腫瘍 症例紹介 診療案内 三重動物医療センター なるかわ動物病院



肝臓を占拠する パート1 できもの 悪くないもの 腹部超音波検査 Vol 3 心臓弁膜症 手術 みどり病院 神戸市西区



腹部超音波検査 くにちか内科クリニック



腹部超音波検査 胆石や肝臓がんの早期発見に役立ちます



肝細胞癌の犬の1例 亀戸動物総合病院 墨田区 犬 猫の動物病院



肝臓の腫瘍 豊橋市の動物病院 セピどうぶつ病院



肝内胆管がんと肝良性腫瘍 一般社団法人 日本肝胆膵外科学会



肺の影に注意 犬猫の肺がんは 治療の難しい悪性腫瘍 メディネクス研究所



エコー検査でしかわからない 本当は犬の腎臓 胆のうの病気 いぬのきもちweb Magazine



泌尿器科 クラーク動物病院 八王子市 町田市 日野市 多摩市



ペットの超音波検査 胆嚢の異常 診断編 犬心あれば猫心あり



エコー検査でしかわからない 本当は犬の腎臓 胆のうの病気 いぬのきもちweb Magazine



肝臓における結節 飼主様のための犬と猫の動物病院のかかりかたガイド



先月 c型肝炎の治療が 完了し完治しました その時ct検査をしましたが 何や Yahoo 知恵袋



胆のうに泥 腫瘍 血液検査で犬のalp値が高い原因は何だろう いぬドコー愛犬との想い出作りにドコ行こう



腹部エコー検査の読影について 京都市北区の動物病院 かもがわ動物クリニック



エコー検査でしかわからない 本当は犬の腎臓 胆のうの病気 いぬのきもちweb Magazine



なぜ 膵臓はエコー検査で観察しづらいのか 巣鴨駅前胃腸内科クリニック



乳がん



猫の腸腺癌 はる動物病院 八千代市 船橋市



犬 心臓に血栓 苦しむ愛犬のために



子宮体癌 エコー画像



犬肝臓癌 悪性腫瘍 奇跡 Mamiのブログ



猫の腫瘍 きゅうたん犬猫病院 静岡市葵区の動物病院



犬 猫 超音波診断について しらかば動物病院



超音波検査 エコー について 国分内科クリニック



超音波検査 エコー について 国分内科クリニック



腹部超音波検査 腹部エコー セントラルクリニックグループ



総合診療科 埼玉の動物病院 埼玉動物医療センター



腎臓疾患の超音波像あれこれ 腹部超音波検査vol 8 腎臓編パート2 心臓弁膜症 手術 みどり病院 神戸市西区



腹部超音波検査 医療法人財団献心会 川越胃腸病院



ペットの超音波検査 胆嚢の異常 診断編 犬心あれば猫心あり



犬の肝臓病の症状や原因 治療法 愛犬を守る方法 コルディ研究室



腫瘍 風の動物病院のブログ



肝臓を占拠する パート1 できもの 悪くないもの 腹部超音波検査 Vol 3 心臓弁膜症 手術 みどり病院 神戸市西区



軟部外科 横須賀市のつだ動物病院



お小水をためて検査を受ける理由は 巣鴨駅前胃腸内科クリニック



腹部エコー 超音波検査 初心者が 最低限知っておきたいよく遭遇する代表的な疾患



肝臓における結節 飼主様のための犬と猫の動物病院のかかりかたガイド



肝臓がんの症状 そして検査と治療法 メディネクス研究所



肝嚢胞とは 5つの原因と症状 治し方の解説 趣味なび

